La colitis se produce por múltiples razones como el estrés, la mala alimentación y la ingesta de narcóticos y alcohol, pero también existe la colitis…
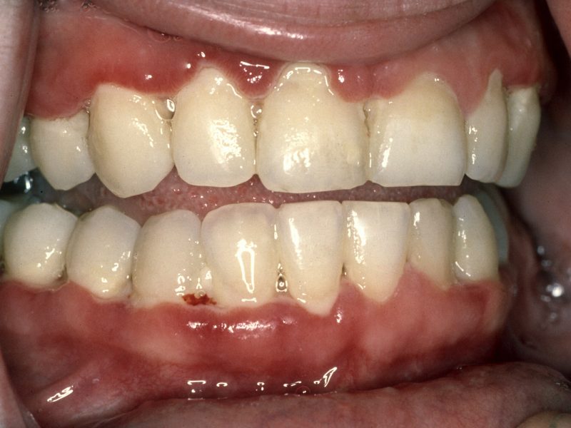
La gingivitis es conocida como la inflamación de las encías, y la presencia de dolor en las encías porque se hinchan y se enrojecen, y…
Hay muchas cosas que seguro no conocías de los ácaros y es que estos seres minúsculos que comparten nuestro amplio mundo, esconden muchos secretos. De…
Está patología es un trastorno gastrointestinal, que se caracteriza por la protrusión del recto que se lesiona y sale por el ano. La forma en…
El paludismo o malaria es una enfermedad que se caracteriza por la infección de los glóbulos rojos a causa del Plasmodio, que es un organismo…
El ruibarbo es una planta que ofrece sus frutos a todos nosotros, el fruto es una verdura de largos tallos, y hojas grandes que fue…
Saber cómo ocurre la amnesia y que es esta patología en particular, es importante y una tarea que nos ayudará a entender el médico neurólogo,…
Las vértebras que están conectadas a la columna, están conectadas mediante discos de cartílago, o conocido como material cartilaginoso, y este disco tiene una parte…
Conseguir los mejores remedios caseros ante picadura de avispas puede marcar un antes y un después si eres afectado por la picadura de alguno de…
El hombre primitivo vivía en estrecho contacto con la naturaleza, tenía que moverse de un lado a otro para recoger frutos, cazar, correr cuando las…









