¿Qué es la gingivitis?
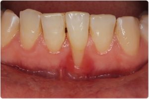
La gingivitis es conocida como la inflamación de las encías, y la presencia de dolor en las encías porque se hinchan y se enrojecen, y está patología puede ocurrir en cualquier momento y afecta negativamente a la boca.
Cuando se realiza un cepillado inadecuado se produce la gingivitis, ya que esto provoca que la placa bacteriana puede estar sobre la línea gingival de los dientes, esta capa blanda está formada por bacterias y se acumula llegando al punto de cementarse y volverse cálculo.

Causas de la gingivitis
La principal causa es la mala higiene bucal, porque el sarro daña la estructura de la encía y la lesiona, el sarro es la transformación final de la placa bacteriana, y está no puede removerse ni con el cepillo ni con la seda dental.
La gingivitis es común también durante el embarazo y procesos de cambios hormonales como la pubertad, además el uso de fármacos y medicamentos anticonceptivos puede incidir directamente en la producción de gingivitis.
Tratamiento
El principal tratamiento es mantener buena limpieza bucodental y usar dientrífico que tenga pirofosfato para cuando haya mucha presencia de sarro y cálculo en los dientes.
Cuando el sarro ya está formado en los dientes solo un odontólogo puede quitarlo mediante profilaxis, que es una limpieza profesional más profunda para reducir la cantidad de placa bacteriana.
La limpieza de requerirá cada 3 meses o cada año dependiendo de la capacidad que tenga el paciente para formar sarro y los susceptible que sea para sufrir de gingivitis.