Es recomendable usar jabones que no irriten la piel, son jabones antibacterianos, se deben colocar compresas de agua caliente que ayudan a ablandar los abscesos,…
Dejar la salud de manos de cualquiera es una completa irresponsabilidad, por eso al momento de agendar una cita médica o visitar a un especialista…
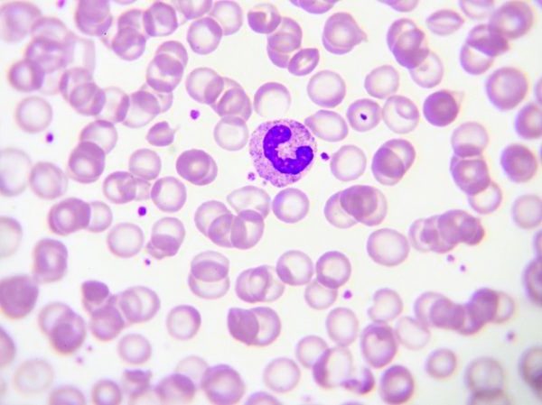
Los leucocitos se han encargado de conformar un grupo dentro de células por la sangre que podrían surgir desde tejidos y sangre de linfático. También,…
Cuando se llega a la mayoría de edad es cierto que se buscan miles de formas para mantenerse en el mejor estado físico posible; tanto…
La interfaz para el usuario está optimizada para una pantalla más grande; lo que significaría fuentes e íconos más grandes y fáciles para leer. Además,…
El azafrán ha sido una de las especias más exóticas y caras; se ha conocido por su color rojo profundo y sabores dulces. El sabor…
La sal de mar ha sido utilizada como saborizante natural desde hace muchos años, resultando ser tan vital para los seres humanos que inclusive una…
Wikipedia define a Deja Vu como estado mental por el cual una persona se mantiene consciente de que alguna vez ha estado por misma situación…
Los postres son el platillo predilecto de las personas después de que hayan terminado el plato principal, debido a que son los que degustan al…
En el mundo medicinal existe una amplia gama de productos que se pueden utilizar para mejorar la salud en cualquiera de los aspectos. Por tal…









